BEHANDLINGS­EKSEMPLER

TANDREGULERINGS­BEHANDLING MED INVISALIGN

Vi tager os tid til dig og dine tænder

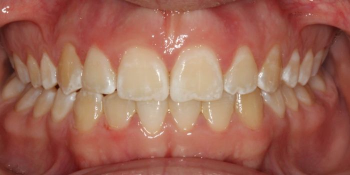
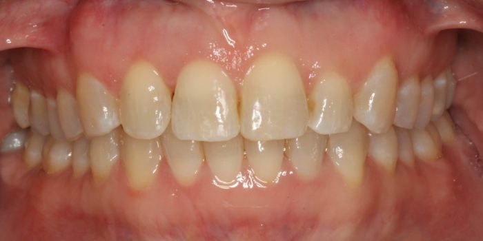
INVISALIGN-VOKSEN

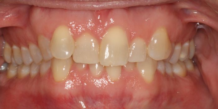
Trangstilling i over- og underkæbe behandlet på 16 måneder med Invisalign.

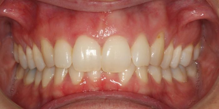
Dybt bid og trangstilling i underkæbefronten behandlet på 11 måneder med Invisalign, mens patienten havde barsel.

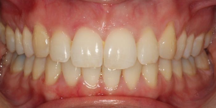
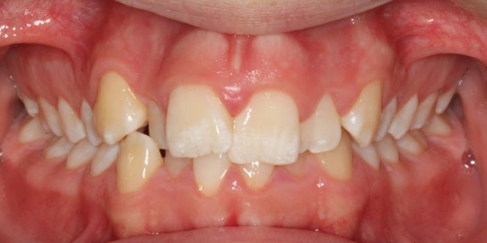
INVISALIGN-BARN

Dreng på 14 år behandlet på blot 11 måneder med usynlige Invisalign-skinner, imens han var på efterskole.

Har du spørgsmål eller ønsker du et uforpligtende tilbud?

Kontakt Specialtandlægerne i Roskilde ApS allerede i dag for kompetent sparring og rådgivning.

46 36 50 33 Send mail